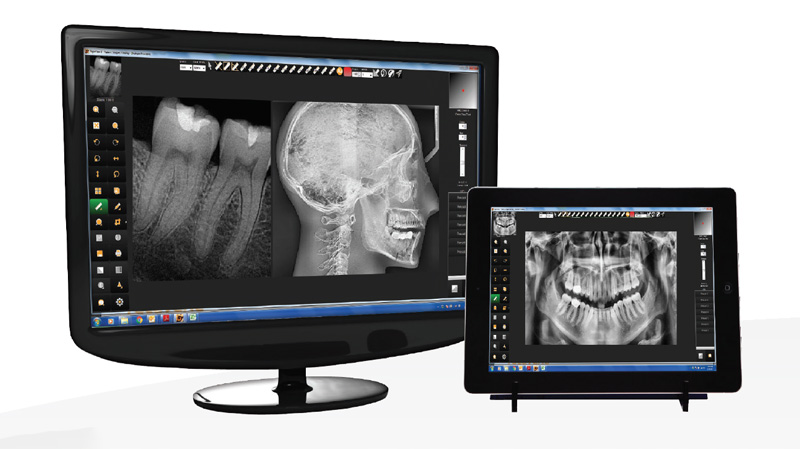
Acquisition and Diagnostic Software

dicomPACS DX-R ® is a professional acquisition software for X-ray images from flat panel systems (DR) and CR units (computed radiography with imaging plates) by any manufacturer. In addition, the software controls X-ray generators and X-ray units of various manufacturers, providing a smooth and systematic workflow. A simple and user friendly GUI (graphical user interface) operated by touchscreen or mouse completes the system.

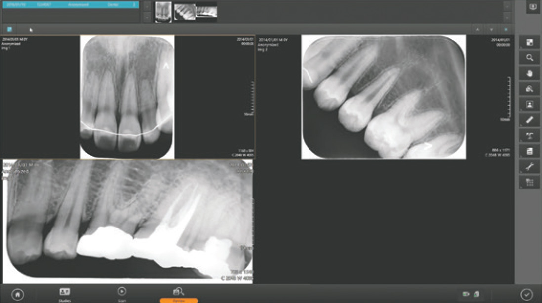
Diagnostic tools for optimal diagnosis

The tools have been developed in cooperation with experts from the USA and Canada and offer great possibilities for diagnosing accurately as well as for planning further treatment. According to the tool used, automated center lines and point, defined cures, angle measurements etc., are generated after the manual selection of the points of interest.

Of course all the standard tools like distance measurements, angle and Cobb angle, mark spots, etc., are also included.


  • User interface can be individualised according to your speciali and needs
  • User-friendly interface, logical and intuitive structure requiring little training
  • All images and data are permanently available in the network – no need to store old images on CD
  • All images and documents are compliant with international DICOM standards
  • "Perfect memory“ – images are reopened with all previous markings and settings (including zoom and orientation)

JPI ExamVue Acuistion and Viewing Software

Examvue DR

A single, unified software for all of our Flat Panel digital systems, ExamVueDR is designed from the ground up to maximize your office workflow. Usable as a stand alone station for the small office or for sending images to a larger PACS, the ExamVueDR includes everything needed for x-ray acquisition and viewing, including DICOM Worklist and Image Stitching.

Examvue CR

Intuitive, easy-to-use ExamvueCR Imaging Software provides facilities using JPI’s ExamvueCR Readers with optimized image acquisition, processing, and management capabilities. Its next-generation user interface allows simple integration into a facility’s HIS, RIS, and PACS—providing the full range of capabilities needed for improved productivity and workflow.

Quantor View

Expand your Examvue Imaging Software solution with our advanced single viewer module for small practices.

View images via a network or the Internet, and send them in DICOM format directly from an Examvue Imaging Software or pre-existing software into QuantorView on your office PC or examination room computer.

ExamVue PACS

JPI’s ExamVue PACS is the viewing solution for the small clinic. With up to 10 viewers, it can be quickly and easily installed throughout your office; both to show your patient’s their x-rays or perform your own diagnoses in your office. Features include easy image importation, image stitching, comparisons, and specialized ortho/chiro and veterinary versions with specialized tools like Cobb Angle, VHS, Ilium analysis, and many more.


Fire CR Software

QuantorMed+ imaging software

Intuitive, easy-to-use QuantorMed+ Imaging Soft ware provides facilities using FireCR Readers with optimized image acquisition, processing, and management capabilities. Its next-generation user interface allows simple integration into a facility’s HIS, RIS, and PACS—providing the full range of capabilities needed for improved productivity and workflow.

QuantorMed+ Dental Reader software

With the QuantorDent Imaging Soft w are image acquisition, processing, and management have never been easier. The easy-to-use software, network/TWAIN interface and free soft ware upgrades makes it a safe investment. The QuantorDent Imaging Soft ware is the soft ware for Digiray FireCR Dental PSP Readers.


Tigerview Software

TigerView PACS Software for Chiropractic

  • DICOM 3.0, HL7 interface, modality worklist and multiple viewing stations
  • Unmatched user-friendly interface
  • Multiple hardware manufacturer integration
  • Multiple modality support
  • Multiple exam room viewing
  • Chiropractic specific tools and measurements including NUCCA Analysis and Illium Analysis, and Stitching

TigerView Pro PACS for Dentistry

  • DICOM 3.0, HL7 interface, modality worklist and multiple viewing stations
  • Unmatched user-friendly interface
  • One database for all imaging products
  • Supports all sensors, digital pans, intro-oral cameras, film scanners all in one platform
  • Multiple hardware manufacturer integration
  • Multiple exam room viewing
  • Dental specific tools and measurements

TigerView Medical PACS Software

  • DICOM 3.0, HL7 interface, modality worklist and multiple viewing stations
  • Unmatched user-friendly interface
  • Multiple hardware manufacturer integration
  • Multiple modality support
  • Multiple exam room viewing
  • Editable Measurement & Annotation Tools
  • Integrates with leading Medical Practice Management Systems

TigerView PACS Software for NUCCA

  • DICOM 3.0, HL7 interface, modality worklist and multiple viewing stations
  • Unmatched user-friendly interface
  • Multiple hardware manufacturer integration
  • Multiple modality support
  • Multiple exam room viewing
  • NUCCA Analysis specific tools and measurements
  • CD burning software with built-in CD viewer
  • Integrates with leading Practice Management Systems

TigerView Software for Podiatrists

  • DICOM 3.0, HL7 interface, modality worklist and multiple viewing stations
  • Unmatched easy-to-use user interface
  • Seamlessly link or bridge from your EMR/EHS clinical and management systems
  • Quickly and easily access all image files and share them with colleagues and patients
  • Multiple hardware manufacturer integration
  • Podiatry specific tools and measurements including Metatarsal Angle and Hallux Abductus Angle

TigerView PACS Software for Veterinarians

  • 101 East Milwaukee Street, Suite 405 | Janesville, WI 53545 | p 800.385.9593 televeresystems.com
  • DICOM 3.0, HL7 interface, modality worklist and multiple viewing stations
  • Unmatched user-friendly interface
  • AVDF winning dental solution multiple years
  • Supports full body and dental radiographs and photographs all in one platform
  • Multiple hardware manufacturer integration
  • Multiple exam room viewing
  • Veterinary specific tools and measurements including vertebral heart score and hip dyplasia measurements TigerView PACS Software for Veterinarians
  • Integrates with leading Veterinary Practice Management Systems